Каждый человек иногда кашляет, особенно, в зимнее холодное время, когда простуда переживает период триумфа. Кашель – довольно распространённое неудобство, о котором часто незачем беспокоиться. Но как знать, что имеет место серьёзная проблема? Давайте, поговорим о том, как декодировать кашель.
Кашель возникает вследствие раздражения рецепторов слизистой оболочки. Долгосрочный кашель не представляет собой нормальное явление, как правило, он является признаком того, что-то не так. Особенно, если присутствует головная боль, в частности, на затылке, которая усиливается при кашле или головокружение. Кроме того, из более мягких форм недуга может «вырасти» серьёзное заболевание – бронхит (присутствует общая головная боль, болит в затылке, дискомфорт усиливается при кашле), пневмония (головная боль присутствует по все й области головы, часто болит в затылке, высокая температура, при кашле может ощущаться болезненность «внутри тела») и коклюш (могут возникнуть симптомы, подобные описанным выше: головная боль, в особенности, при кашле, часто болит в затылке…).
Задайте себе вопрос: сколько времени продолжается ваша проблема, как долго присутствует головная боль (в т.ч., в затылке, при кашле или без него…)? Через восемь недель кашель становится хроническим, и сам по себе не исчезает. Но врачи призывают обратиться за помощью после 2 недель необъяснимого кашля. Если он сопровождается жаром, болит в грудной клетке, присутствует одышка, зелёная или тёмно-жёлтая мокрота, сильно болит голова, в особенности, в затылке (может отдавать в другие области), которая усиливается при кашле, следует немедленно идти к врачу.
Итак, как определить заболевание? По симптомам!
Грипп и простуда
Во время гриппа кашель – более сухой, головная боль (в частности, в затылке), являющаяся типичным симптомом этого заболевания, при кашле ухудшается; состояние улучшается перед сном. Кашель от простуды, наоборот, мокрый, продуктивный. От него не стоит избавляться, в крайнем случае, можно принять отхаркивающее препараты или муколитики на разжижение слизи.
Что делать? Если кашель мягкий, то лучше подождать, пока симптомы стихнут сами по себе. Но если при кашле сильно ухудшается головная боль, возникает боль в груди или проблемы с дыханием, не полагайтесь на самолечение и идите к врачу.
Задний ринит
Густые выделения невозможно высморкать, они стекают вниз по задней части горла, вследствие чего возникает щекотание в горле и головная боль, которая усиливается при кашле.
Что делать? Принимайте лекарства для разжижения слизи и отхаркивающие препараты, пейте много жидкости, попробуйте каждый день в течение 20 минут погружать локти в горячую воду. Если в течение недели симптомы не утихнут, проконсультируйтесь с врачом. Обычно, он назначает антибиотики или выполняет пункцию.
Острый бронхит/пневмония
Оба заболевания возникают вследствие вирусной или бактериальной инфекции. Они проявляются большим количеством густой слизи, которая понуждает к болезненному кашлю, в начальной стадии, особенно, утром, который может ухудшаться.
Что делать? Лёгкий бронхит может быть лечён аналогично, как простуда. Если появляется боль и стеснение в груди, немедленно идите к врачу. При бактериальной причине заболевания назначают антибиотики и бронхолитические препараты (расширяющие бронхи). При тяжёлой пневмонии человек может быть госпитализирован.
Аллергия
Кашель, обычно, сухой, раздражающий, возникает в сочетании с водянистым насморком и частым чиханием.
Что делать? Прежде всего, постарайтесь избегать раздражающих аллергенов (пыль, пыльца, запах, шерсть животных). Помочь облегчить симптомы могут антигистаминные препараты. Если изменения не происходят, посетите аллерголога.
Астма
Чувствительность человека к изменениям температуры, влажности и загрязнениям воздуха могут спровоцировать астму. Хроническая болезнь поражает дыхательные пути. Кашель – сухой, раздражающий, человеку «не хватает воздуха», часто возникает головная боль.
Что делать? Избегайте возбудителей астмы (аллергенов) и ограничьте физическую активность. Если симптомы сохраняются на протяжении более 2 недель, идите к врачу.
Последствия курения
Утренний мощный продуктивный кашель может означать и что-то худшее, чем хронический бронхит – эмфизему лёгких и даже рак лёгких. В дополнение к кашлю возникает одышка.
Что делать? Прекратите курить, причём, немедленно. В течение месяца после отказа от курения кашель исчезнет. Любой курильщик в возрасте старше 40 лет должен пройти спирометрию (тесты дыхательных функций у пульмонолога) и последующее лечение. Для раннего выявления рака дыхательных путей также являются подходящими пробы тумормаркеров и онкомаркеров.
Коклюш
Коклюш является заболеванием, которое взрослых людей не слишком беспокоит, но для маленького ребёнка может быть смертельным. И часто именно мама, папа или бабушка, т.е., самые близкие и любящие люди бывают носителем инфекции.
Являетесь ли вы носителем? Поскольку болезнь всё ещё сохраняется в популяции, и является очень заразной, то существует высокая вероятность, что вы тоже ею заразитесь. Заметить недуг не обязательно – взрослый может коклюш легко спутать с простудой или другой вирусной инфекцией. На начальной стадии проявляется кашлем и насморком, как правило, без повышения температуры. В общем, не происходит ничего такого, с чем человек сразу же бежит к врачу. Однако, обнаружить коклюш сложно даже при медицинском обследовании: для подтверждения диагноза возникает потребность в проведении целевых лабораторных испытаний, которые, обычно, не делаются. Таким образом, в течение нескольких недель человек неосознанно распространяет бактерии при кашле, разговоре и поцелуях. Риск того, что заболевание поразит кого-то из близких носителя инфекции, по оценкам экспертов, составляет около 80%.
Дети не умеют кашлять! Если инфицированным членом семьи является новорожденный ребёнок, это может быть большой проблемой. Младенцы, фактически, посредством аутовакцинация полностью защищены в возрасте 5-6 месяцев. Пациенты помладше перед коклюшем гораздо более уязвимы.
При тяжёлой форме заболевания приступы почти непрерывные, особенно, в ночное время. Ребёнок задыхается, появляется синюшность кожи и рвота, возникает обезвоживание и угроза полного истощения. Особую опасность представляет заболевание для самых маленьких пациентов, которые ещё не разработали кашлевой рефлекс – они могут даже задохнуться.
Защитите себя, защитите своего ребёнка
Решение простое: для того, чтобы маленькие дети были защищены от инфекции, защититься от неё должны, в первую очередь, взрослые. Национальный комитет по иммунизации рекомендует ревакцинацию, по крайней мере, 1 раз в своей жизни, особенно, это актуально для тех, кто вступает в контакт с новорожденным:
1. Женщины, которые планируют беременность.
2. Женщины, непосредственно после рождения ребёнка.
3. Близкие члены семьи, т.е., отцы, братья и сёстры, бабушки и дедушки (по крайней мере, за 4 недели до рождения ребёнка).
4. Специалисты, ухаживающие за маленькими детьми, т.е., няни, персонал в отделениях для новорожденных, детских клиниках и т.п..
Что ещё можно сделать? Инфекция коклюша очень чувствительна к окружающей среде. Её губит солнце, тепло и сухость. Если позволяет погода, открывайте окна, проветривайте постельное белье, используйте дезинфицирующие средства.
Источник
Если при кашле боль отдаёт в голову, то следует сразу же обратиться к врачу, чтобы выявить причины данного симптома и как можно раньше начать лечение. Кашель, сопровождающийся головной болью, в большинстве случаев принимается больными как простудное явление. Однако данный симптом может сигнализировать о наличии более серьёзных заболеваний. Важно обратить внимание на внезапность и длительность головной боли. В основном дискомфорт ощущается в затылочной области.
Почему болит голова, когда человек сильно кашляет – осовные причины
Болевые ощущения, сопровождающие кашель, могут носить первичный характер и возникать как ответ организма на простуду, или быть вторичными и свидетельствовать о той или иной патологии. В первом случае головная боль абсолютно безопасна, а вот вторичные боли могут указывать на серьёзные отклонения в здоровье.
Если кашель сопровождается головными болями длительный период времени, следует обратиться к врачу.
Боль в голове, возникающая при кашле, чаще двусторонняя, очень сильная, появляется сразу после резкого кашля и проходит сразу же после окончания приступа. Средняя продолжительность болевых ощущений составляет от 30 секунд до получаса. Причина первичной боли кроется в повышенной чувствительности больного к кратковременному повышению внутричерепного давления, которое возникает при кашле. Такими типами болей чаще всего страдают мужчины среднего возраста.
Второй по распространённости причиной головной боли во время кашля считается поражение периферического нерва в шейной области. Данное заболевание называется шейной невралгией. Особенность такой боли состоит в том, что она усугубляется не только в процессе кашля, но и при резких движениях, поворотах, наклонах головы. Чаще всего причиной такого состояния является сквозняк.
Невралгия требует консультации врача и правильного лечения. Это поможет избежать менингита и других опасных осложнений.
При шейном остеохондрозе дискомфортное чувство локализуется в области затылка, усугубляется при кашле и поворотах головы. Для данного заболевания характерны и другие симптомы, такие как головокружение, развитие вегето-сосудистой дистонии, шум в ушах. Такая симптоматика требует обращения к невропатологу.
Причинами головных болей при кашле могут также являться следующие заболевания:
- Аневризма;
- Киста;
- Онкологическая патология головного мозга.
Головная боль, возникающая при кашле, может свидетельствовать о наличии серьезной патологии, поэтому требуется проведение диагностики.
Почему кашель может отдавать в затылок, виски и лобную часть головы – возможные заболевания
Боли в голове и висках из-за кашля могут говорить о проблеме с сосудами и сердцем. У людей с подобными нарушениями часто при кашле боль отдаёт в голову. Объясняется это явление тем, что рефлекторные спазмы дыхания повышают давление внутри черепа, в итоге болевые ощущения становятся невыносимыми.
Наличие аллергии у детей также может привести к тому, что при кашле у ребёнка будет возникать болевой синдром. В этом случае неприятные ощущения не проходят около 2 недель, при этом отсутствует мокрота.
Бронхиальная астма – заболевание, при котором кашель всегда сопровождается головной болью. Организм больного при этом ослабевает, а иммунитет – разрушается.
Хронические болезни также нередко провоцируют возникновение головных болей при кашле. К подобным проблемам приводит сахарный диабет, гайморит, болезни щитовидной железы.
Болевой синдром при простуде в области головы появляется при интоксикации. Кроме того, больной ощущает слабость и головокружения.
Боли в области головы при синдроме Арнольда-Киари говорят об аномалии: изменяется структура головного мозга, что приводит к разным нарушениям в функционировании мозжечка, отвечающего за координацию. Нередко сильный кашель отдаёт в голову при неправильном расположении продолговатого мозга.
Головные боли могут возникать у человека при метеочувствительности Здоровый организм, как правило, на изменение погодных условий никак не реагирует. В основном от этого недуга страдают люди с болезнями нервной, мочеполовой, сердечно-сосудистой или иммунной систем, а также с проблемами опорно-двигательного аппарата. Но хуже всего приходится тем, кто страдает врождённым пороком сердца и вегето-сосудистой дистонией. У них всё время повышается давление перед непогодой и при длительном нахождении на морозе или жаре, вследствие чего появляются неприятные ощущения в области головы. Чем чреват мастоидит, если вовремя не вылечить заболевание можно узнать в данном материале.
Когда болезненные ощущения в области головы, появившиеся из-за кашля, невозможно терпеть, лучше перестраховаться и посетить специалиста, чтобы исключить или своевременно выявить серьёзные проблемы со здоровьем.
В этом случае врач обычно назначает следующие обследования:
- Ультразвуковое исследование.
- Лабораторную диагностику.
- Магнитно-резонансную томографию.
- Измерение перемещения крови внутри мозга.
Лечение
Медикаментозное
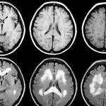
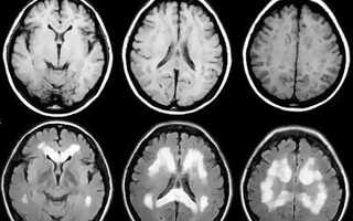
Если больной жалуется на головную боль при кашле, то первое обследование, которое стоит пройти, – это МРТ головы, в результате которого будет назначено необходимое лечение.
Если данное обследование не показало отклонений, то боль снимается обычными обезболивающими препаратами, такими как:
Цена от 30 р.
- Ибупрофен;
- Нурофен;
- Анальгин;
- Парацетамол и др.
Не стоит злоупотреблять обезболивающими препаратами при возникновении головной боли. Принимать их следует аккуратно, не превышая суточной нормы.
Больным синдромом Арнольда-Киари с острой болью в голове во время приступа кашля доктор, как правило, выписывает препараты для снятия воспалительных процессов. К таковым относятся Пироксикам и Ибупрофен. Также при головной боли врач может выписать миорелаксанты, например, Тубокурарин. Эффективно принимать при резкой боли Но-шпу.
Народными средствами
Распространённым средством для снятия головной боли при кашле является уксусный компресс. Для этого возьмите марлю или небольшой кусок ткани, промочите уксусом и приложите ко лбу и вискам. Когда компресс станет тёплым, следует опять смочить его в уксусном растворе и повторить процедуру. Если при этом наблюдается головокружение, то процедуру стоит немедленно прекратить.
Часто при головной боли используют холодные компрессы. Возьмите небольшую ёмкость с холодной водой, добавьте в неё кубики льда, смочите в охлаждённой воде кусочек ткани и приложите ко лбу. Такой способ лечения боли обладает сосудосуживающим эффектом и быстро помогает устранить дискомфорт.
Головная боль при кашле хорошо устраняется с помощью соляного компресса. Приготовьте раствор (в 1 стакане воды растворите 1/2 ст. ложки соли), затем кусочек шерстяной ткани смочите в полученном растворе и закрепите на больной области. Курс лечения таким компрессом составляет 1 неделю.
Если в домашней аптечке не оказалось никаких обезболивающих таблеток, то эффективно использовать валериану. Головная боль отлично снимается настоем из этой лекарственной травы. Для приготовления настоя возьмите 20 г травы, залейте 300 мл кипятка, поставьте на слабый огонь (на 15 минут), затем настаивайте отвар в течение 30-40 мин, процедите и пейте по 2 ст. ложки через 30 минут после каждого приёма пищи.
- Для устранения болевых ощущений во время кашля полезно пить травяные чаи. Их можно готовить из ромашки, чабреца, мяты. Такие чаи обладают тонизирующим и противовоспалительным действием.
- Затылочную боль прекрасно устраняют ягоды калины. Необходимо размять ягоды вместе с зёрнышками, выдавить сок и пить 3 раза в сутки по 3 ст. ложки до приёма пищи.
- Для избавления височной боли необходимо взять кусочек марли или ткани, смочить его в эфирном масле (ментоловом или мятном) и приложить к вискам, лбу и затылку.
- Часто люди с целью устранения головной боли используют капустные листья. Нужно закрепить листья к лобной и затылочной части на 1 час.
- Распространённым способом избавления от неприятного симптома является применение каланхоэ. Для этого нужно разрезать лист растения, приложить к вискам, лечь и расслабиться.
При шейном остеохондрозе дискомфортные ощущения можно снять с помощью настоя из чабреца в сочетании с шиповником, мелиссой и подорожником. Все травы (в равных пропорциях) залейте 400 мл кипятка, настаивайте на протяжении часа, затем процедить и выпейте 2 раза за день.
При вегето-сосудистой дистонии применяется трава мокрицы. Промойте её, измельчите и наложите на волосистую часть головы, закрепите бинтом на 2-3 часа.
Если боль в голове беспокоит по причине гайморита, налейте 1/2 стакана воды, добавьте в него несколько капель лавандового, ромашкового или лимонного масла. Затем смочите ткань в полученной смеси и приложите к больной области.
От головной боли, возникающей при кашле, эффективно применять прополис. Для этого приготовьте настойку: возьмите 20 г прополиса, добавьте его в стакан с водкой или медицинским спиртом, перемешайте. Применяйте настойку следующим образом: возьмите ломтик хлеба, нанесите на него около 40 капель настойки, затем съешьте. Боль исчезает очень быстро.
Полезные свойства алоэ от насморка
Лечение аллергии у детей описано тут.
Отхаркивающие сиропы от кашля //drlor.online/diagnostika-lechenie/kashel/kogda-ispolzuyutsya-otxarkivayushhie-siropy.html
От болей в голове хорошо помогает ржаной хлеб, размоченный в уксусном растворе. Затем его нужно нанести на марлю или ткань и приложить к больной области.
Особой эффективностью обладают травяные чаи, которые не только снимают головную боль, но и оказывают благотворное влияние на весь организм в целом. Принимайте чаи, в состав которых входят мята, анис, корень солодки и листья лобелии.
Заваривать чай лучше в фарфоровой посуде. Так он больше сохраняет свои полезные свойства. Пить чай стоит сразу после того, как чай настоится, иначе от него не будет пользы.
Профилактика кашля
Профилактикой возникновения головных болей является своевременное обращение к врачу и выявление заболеваний, вызывающих данный симптом.
Видео
Выводы
Таким образом, головная боль, возникающая при кашле, может быть спровоцирована различными заболеваниями. Устранение данного симптома напрямую связано с выявлением причины и своевременным лечением недуга.
Вовремя обратившись к врачу, вы сможете предотвратить серьёзное заболевание, которое потом не придётся лечить долгие годы. Головная боль в при кашле не возникает просто так. Найдите причину, избавьтесь от неё и живите долго и счастливо.
Возможно ли безоперационное лечение аденоидов у детей, узнайте тут.
Источник
Если при кашле отдает в голову, то это первый признак необходимости обратиться в больницу, для определения точного диагноза.
С такими вещами не рекомендуется шутить, ведь когда болит голова при кашле, у человека могут быть серьезные проблемы со здоровьем.
Первое, что приходит на ум при кашле и боли в области лба – простуда, однако на самом деле это далеко не так.
При кашле головная боль может быть вторичной и первичной. В последнем случае она возникает в результате несерьезных проблем, а во втором может свидетельствовать о наличии заболевания, на которое нужно обратить внимание.
Почему при наклонах усиливается боль в затылке? Почему может начинаться кружиться голова, когда наступает кашель? Давайте более детально рассмотрим все возможные случаи, почему это происходит и как с этим бороться.
Причины головной боли при кашле
Причины, вызывающие боль во время кашля в области лба и в затылке, могут быть самые разнообразные. К основным причинам можно отнести следующие:
- Курение, в результате которого происходит повышение артериального давления, возникает общая слабость всего организма;
- Боль во время кашля усиливается при наличии аллергической реакции;
- Метеозависимость;
- Синдром Арнольда-Киари;
- Гайморит, во время которого возникает боль в области лба;
- Заболевания онкологического характера;
- Шейная неврология, во время которой происходит поражение периферического нерва. Кашель может вызывать болевые ощущения в затылке, может кружится голова;
- Головная боль при кашле возникает во время остеохондроза, в этом случае неприятные ощущения появляются в затылке, они усиливаются при кашле, чихании и резких наклонах головы.

Довольно часто кашель вызывает боль в области лба и затылке у мужчин возрастом от 40 лет и выше. Продолжительность таких приступов может составлять от двух до тридцати минут. Во время таких приступов может кружится голова, повышаться температура тела и ощущаться общая слабость в организме.
Если у мужчины есть такая вредная привычка, как курение, то кашель сопровождающийся болевыми ощущениями в области головы для него частое явление. Входящий в состав сигарет никотин приводит к нарушениям нормальной работы сердечно-сосудистой системы, что приводит к развитию гипертонии и остальных серьезных болезней.
В таком случае, кашель сопровождается учащенным сердцебиением, резкими перепадами настроения, возникновению отдышки. Болезненные ощущения могут возникнуть при чихании, а при резких подъемах может кружится голова.
Синдром Арнольда-Киари
Если у пациента обнаружен такой синдром, то проводить лечение необходимо исключительно под контролем врача. Такая болезнь приводит к изменениям в структуре мозга головы, в результате чего наблюдаются перемены в работе мозжечка, отвечающего за координацию движения.
Пациент может испытывать не только боль в области лба и затылке, но у него может сильно кружится голова. Также к причинам головной боли во время кашля можно отнести неправильное расположение продолговатого мозга. Определить синдром Арнольда-Киари можно по следующим симптомам:
- Беспорядочный прием медикаментозных препаратов во время беременности.
- Если женщина во время беременности употребляет спиртные напитки и курит.
- Травма ребенка при родах.
- Неполноценное питание в период вынашивания плода.
- Аномальные явления, при которых наблюдается увеличение головного мозга.
Головная боль при кашле может появиться у людей, имеющих склонность к аллергиям.
Они могут страдать от приступов на протяжении месяца, кашель чаще всего сухой, отсутствует выделение мокроты, при этом нет повышения температуры тела.
Медикаментозное лечение

В том случае, если у больного с синдромом Арнольда-Киари возникла сильная головная боль при очередном приступе кашля, то рекомендуется принимать средства, направленные на снятие воспалительных процессов в области головы. К таким средствам можно причислить Ибупрофен и Пироксикам.
Если кружится голова и есть болевые ощущения, то рекомендуется также принимать препараты, относящиеся к группе миорелаксантов, к примеру, Тубокурарин. При резкой боли эффективно использовать Но-шпу.
Народные средства
При наличии болезненных ощущений во время кашля, также можно воспользоваться средствами народной медицины. Есть несколько простых рецептов, способных унять головную боль и спазмы:
- Отличным средством лечения болей в голове во время кашля считается компресс. Для этих целей используется уксус. Необходимо взять маленький кусочек ткани либо марлю, смочить его в уксусе и приложить к вискам и лбу. Когда компресс будет теплым, его снова нужно смочить в уксусе. Если возникло головокружение, процедуру следует моментально прекратить;
- Часто используются холодные компрессы. Подобный способ терапии отличается сосудосуживающим эффектом, позволяя быстро устранить неприятные ощущения. После того, как компресс нагрелся, необходимо вновь охладить ткань, прикладывая ее в области лба. Можно использовать лед, замотанный в полиэтилен и кусочек ткани;
- Эффективное средство для борьбы с болевыми ощущениями в области головы при кашле – травяной чай. Готовить такой чай можно из мяты, чабреца, ромашки и других трав. Такие чаи отличаются противовоспалительным и тонизирующим действием;
- Для лечения боли при кашле в области затылка необходимо использовать ягоды калины. Для этого следует размять ягоды с зернами, выдавить из них сок и пить трижды в сутки перед едой по три столовые ложки;
- Зачастую люди испытывающие головную боль при кашле используют листья капусты для ее снятия. Лист капусты необходимо закрепить на затылочной и лобной части на один час.

Иногда, боль может отдавать в область лба и затылочную часть, при этом насморк и кашель у больного полностью отсутствует. Такое явление может свидетельствовать о наличии опухоли, причем она может быть не только доброкачественной, также это может быть рак, что является смертельно опасным.
Проведение общего осмотра не позволит определить в живую подобного рода недомогания. В данном случае будет эффективным лишь сдача определенных анализов и компьютерное вмешательство, позволяя точно определить характер опухоли и ее нахождение.
Видео в этой статье расскажет почему так опасна головная боль.
Источник
